Led Teeth Whitening
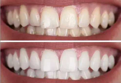
Get Pearly White Teeth Within 30 Minutes!
Fast Results Instantly After One Session Within 30 Mins.
- Safe For Sensitive Teeth
- Non Peroxide Gel
- Fda Approved
- Painless - Convenient
Get Pearly White Teeth Within 30 Minutes!
Fast Results Instantly After One Session Within 30 Mins.
- Safe For Sensitive Teeth
- Non Peroxide Gel
- Fda Approved
- Painless - Convenient